Dental Solutions One Care™
Book an Appointment

Best Dental Chain of Clinics in Noida

  • For Enquiry call us: +91 9871672228
  • For Appointment call us: +91 120 4214 809
Menu
  • Home
  • About us
    • About Clinic
    • Director Message
    • Our Team
    • Testimonials
    • Privacy Policy
  • Services
    • Bone Grafting
    • Cosmetic Filling
    • Cosmetic Smile Designing
    • Crowns & Bridges
    • Dental Implants
    • Dental Tooth Jewellery
    • Diastema Closure
    • Enamel Shaping
    • Fiber Splinting of Mobile
    • Kids Dentistry
    • Lip Repositioning
    • Orthodontic Treatment
    • Pit & Fissure Sealants
    • Porcelain Veneer
    • Removal of Impacted Teeth
    • Root Canal Treatment
    • Teeth Whitening
    • Tooth Colored Fillings
  • Dental Tourism
  • Gallery
    • Awards & Achievement
    • Photo Gallery
    • Virtual Tour of Clinic
      • Sector 19
      • Sector 20
      • Sector 40
      • Sector 61
    • Treatment Gallery
    • Video Gallery
  • Blog
  • Our Branches
    • Sector 19 Branch
    • Sector 20 Branch
    • Sector 40 Branch
    • Sector 61 Branch
  • Book Appointments

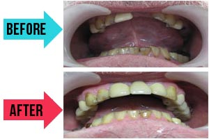
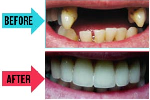
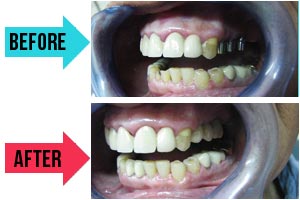
Treatment Gallery

Home >Gallery > Treatment Gallery

Dental Solutions One Care™

  • E-25, Sector – 40, Noida
  • 0120 4214809

Dental Solutions One Care™

  • C-88, Sector-61, Noida
  • 0120 4338338

Dental Solutions One Care™

  • B-10, Sector-19, Noida
  • 0120-4113222

Dental Solutions One Care™

  • D8, Sector 20, Noida
  • 0120 4555222
© 2022 Dental Solutions One Care™ | All Rights Reserved
Powered by JS Web Services Pvt. Ltd.

Enquiry Now