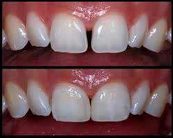
A diastema is a space between the front teeth, diastemas are often closed by orthodontic alignment of the teeth into contact. Orthodontic treatment uses brackets and wires to place pressure on the teeth and gradually realign them into a more desirable position. After the braces and wires are removed the person must wear a plastic retainer for several months to hold his or her new smile in place.